Según publica el periódico síntesis en su edición dle sábado 19 de Junio 2010:
La ciudad de Fray Luis Beltrán y la región están conmocionadas
Un grupo de vecinos comenzó a reunirse, preocupados por las posibles causantes de estas muertes que afectaron a niños y adolescentes. Varias de las víctimas iban a la escuela 254 de Beltrán.
Un grupo de vecinos y familiares de víctimas de leucemia fulminante decidió comenzar a reunirse luego de que la muerte de cinco chicos no les parezcan casos aislados.
Cinco son los fallecimientos conocidos hasta hoy y relacionados como similares, porque hubo un hilo que los unía: la mayoría de los niños o adolescentes iba a la Escuela 254 de Beltrán, a excepción de la última nena de 9 años, que falleció la semana pasada, que iba al Colegio Cayetano Errico de Capitán Bermúdez, pero vivía en Beltrán.
El vivir en la misma zona, concurrir a la misma escuela, la corta edad, son los primeros puntos en común que se encontraron en estas muertes que comenzaron en diciembre, cuando falleció una joven de 17 años, y hasta la fecha se conocen al menos cinco casos. Aunque no se descarta que con el paso de los días aparezcan más víctimas que hayan sufrido esta enfermedad.
Síntomas comunes
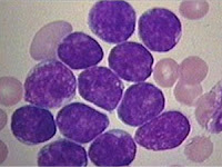
Lo que más llama la atención es la rapidez con la que fallecieron los chicos. Desde que tuvieron los primeros síntomas, hasta su muerte, solo pasaron entre 15 y 20 días en todos los casos. Luego de algún tipo de descompensación, a todos se les diagnosticó leucemia, que es un tipo de cáncer de la sangre o de los órganos formadores de los elementos sanguíneos, que genera un aumento notable en los niveles de glóbulos blancos o leucocitos, los que se acumulan en la médula e inundan el flujo sanguíneo.
Algunos de los síntomas que las víctimas sufrieron fueron desmayos, anemia y la aparición repentina de moretones. Todo de un día para el otro y siendo personas sanas. Por ejemplo, a una de las jóvenes se le manifestó como púrpura. Pero lo cierto es que una vez que se les diagnosticó la enfermedad o fueron internados, esta ya era fulminante y en menos de tres semanas murieron.
Reunidos para interiorizarse en el tema
Muy preocupados por estas jóvenes muertes, vecinos y familiares de los chicos, decidieron comenzar a reunirse, para investigar y tener un asesoramiento profesional sobre lo que está pasando y saber cuáles podrían ser las causantes de esta enfermedad. Más allá de que todos conozcamos el factor de riesgo que es la zona en la que vivimos, por la extremada contaminación, se preguntan qué es lo que certeramente provoca estos decesos. "Una cosa es que vos te banqués la alergia y otra que mañana le agarre leucemia y mueras por la contaminación de la zona", dijo una de las vecinas muy alarmada.
El miércoles pasado se realizó la primera reunión, donde se compararon los casos y se corroboró que eran muy similares. Los encuentros piensan ser extendidas en el tiempo y el próximo Miércoles 23 volverán a reunirse en Ricchieri 09 de Fray Luis Beltrán, a las 19 hs.
Allí citarán a profesionales para que los guíen e informen. Además, los vecinos invitaron a todas aquellas personas interesadas o con allegados que hayan pasado por lo mismo, para aunar fuerzas y encontrar una solución a esta problemática, ya que probablemente haya casos que no se dieron a conocer o se hayan considerado aislados.
Periódico Síntesis / Flavia Campeis


FLB: Un grupo de vecinos comenzó a reunirse, preocupados por las posibles causantes de estas muertes que afectaron a niños y adolescentes. Varias de las víctimas iban a la escuela 254 de Beltrán...